We Give You Your Smile
Back
Transform your teeth with our expert dental care and braces. Experience the
confidence of a perfect smile.
We Give You Your Smile
Back
Transform your teeth with our expert dental care and braces. Experience the
confidence of a perfect smile.
Your Journey to a Perfect Smile Starts Here
At our dental clinic, we understand that your smile is more than just teeth – it’s your confidence, your first impression, and your happiness. Our experienced team specializes in transforming smiles through advanced dental treatments and orthodontic solutions.
Happy Patients
Years Experience
Happy Patients
Years Experience

Comprehensive Dental Services
We offer a full range of dental services to help you achieve and maintain the perfect
smile you deserve.

Dental Braces
Traditional and modern braces to straighten your teeth and perfect your bite.

Teeth Whitening
Professional whitening treatments for a brighter, more confident smile

Dental Implants
Permanent solutions for missing teeth with natural-looking results

Preventive Care
Regular checkups and cleanings to maintain your oral health
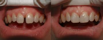
Amazing Transformations
See how we’ve helped our patients regain their confidence with beautiful, healthy smiles.


Severe crowding corrected with 18-month treatment

Gap closure and perfect alignment achieved

Complete orthodontic transformation with traditional braces
What Our Patients Say
Don’t just take our word for it. Here’s what our satisfied patients have to say about their smile transformations.
getting braces here, I finally have the smile I've always
dreamed of! The staff was incredibly supportive
throughout the entire process."

My teeth are now several shades whiter and I feel so
much more confident. Thank you for giving me
my smile back!"

Best decision ever! The team made me feel comfortable
and the results are amazing. I can't stop
smiling now!"

Ready to Get Your Smile Back?
Amazing Transformations
See how we’ve helped our patients regain their confidence with beautiful, healthy smiles.
Get in Touch
Location
123 Dental Street, City Center, State 12345
Phone
+92 331 8768648
Hours
Mon-Fri: 8AM-6PM
Sat: 9AM-4PM
Email
info@dentalsmile.com
Our Location
Request An Appointment
Dental
Delivering trusted dental & facial aesthetic care for over 40 years with expert specialists, advanced technology, and a passion for smiles.